The therapeutic benefits of epigallocatechin gallate in rats with experimentally induced ulcerative colitis are achieved by influencing inflammation and apoptosis

Abdulrhman M. Al-Qarnia, Abdulrhman A. Eida, Abdulmajeed M. Albalawia, Naif S. Albalawia, Mohammed A. F. Elewab, Khalid S. Hashemc, Mohammed M.H. Al-Gayyard,e

University of Tabuk, Saudi Arabia; Kafrelsheikh University, Egypt; Beni-Suef University, Egypt; Mansoura University, Egypt

aPharmD Program, Faculty of Pharmacy, University of Tabuk, Saudi Arabia (Abdulrhman M. Al-Qarni, Abdulrhman A. Eid, Abdulmajeed M. Albalawi, Naif S. Albalawi); bBiochemistry Department, Faculty of Pharmacy, Kafrelsheikh University, Egypt (Mohammed A. F. Elewa); cBiochemistry Department, Faculty of Veterinary Medicine, Beni-Suef University, Egypt (Khalid S. Hashem); dDepartment of Biochemistry, Faculty of Pharmacy, Mansoura University, Egypt (Mohammed M.H. Al-Gayyar); eDepartment of Pharmaceutical Chemistry, Faculty of Pharmacy, University of Tabuk, Saudi Arabia (Mohammed M.H. Al-Gayyar)

Correspondence to: Mohammed M H Al-Gayyar, PhD, Prof. of Clinical Biochemistry, Faculty of Pharmacy, Mansoura University, Egypt, University of Tabuk, Saudi Arabia, e-mail: mhgayyar@yahoo.com
Received 25 March 2025; accepted 5 July 2025; published online 11 August 2025
DOI: https://doi.org/10.20524/aog.2025.0985
© 2025 Hellenic Society of Gastroenterology

Abstract

Background The potential therapeutic effects of epigallocatechin gallate (EGCG), a compound found in green tea with antioxidant and anti-inflammatory properties, on ulcerative colitis (UC) rats is a significant area of research. This study aimed to investigate the impact of EGCG on inflammation and apoptotic pathways in UC rats.

Methods The study involved inducing UC in rats by administering 2 mL of 4% acetic acid. The UC rats were then treated with 20 mg/kg of EGCG. Colon samples were collected to evaluate gene and protein expression of various factors, including nuclear factor kappa-light-chain-enhancer of activated B cells (NFκB), tumor necrosis factor alpha (TNF-α), sphingosine kinase 1 (SphK1), macrophage inflammatory protein 1-alpha (MIP-1α), B-cell lymphoma 2 (BCL2), and BCL2 associated X (BAX), as well as the activities of caspase-3/8/9. Additionally, colon sections were stained with Masson trichrome to investigate tissue fibrosis.

Results Microscopic examination of rat colonic sections stained with Masson trichrome revealed severe damage to the intestinal glands, marked by widespread hemorrhage and extensive fibrosis. Treatment with EGCG reduced the severity of the damage. Additionally, EGCG decreased the expression of several proinflammatory markers, such as NFκB and TNF-α, as well as SphK1, MIP-1α and BAX, reduced caspase-3/8/9 activity, and increased the expression of BCL2.

Conclusions The protective effects of EGCG against UC experimentally induced in rats are achieved by reducing the expression of inflammatory markers such as NFκB, TNF-α and MIP-1α, inhibiting apoptosis by decreasing the expression of BAX and caspases, and increasing the expression of BCL2.

Keywords Ulcerative colitis, rats, epigallocatechin gallate, proinflammatory markers, apoptosis

Ann Gastroenterol 2025; 38 (5): 526-536

Introduction

Ulcerative colitis (UC) is characterized by persistent inflammation in the colon mucosa, commonly originating in the rectum and extending throughout the entire colon. While mucosal healing is linked to extended remission, both clinical trials and practical studies have revealed that individuals may continue to experience symptoms despite healing of their mucosa [1]. The common manifestations of UC encompass diarrhea, often characterized by blood or mucus, abdominal discomfort and cramping, and rectal bleeding, leading to weight loss, fever, reduced appetite, nausea and vomiting, fatigue and, in infrequent cases, constipation. Over time, UC appears to increase the risk of progression to neoplasia, declining colorectal function and an increased likelihood of colectomy [2].

The etiology of UC is a complex and multifaceted process that arises from the interplay of various factors, including genetic, gut microbiome and immune system. Individual characteristics, such as age, smoking habits and a history of appendicitis, can further exacerbate the risk of developing UC [3]. Individuals with UC often face challenges that extend beyond physical health. The condition is associated with increased levels of anxiety and depression, affecting personal relationships, daily activities and quality of life [4]. Globally, the prevalence of UC varies, but is estimated to affect between 200 and 250 individuals per 100,000 population, with no significant sex-related disparity observed [5].

The management of UC involves various medications, including 5-aminosalicylates, corticosteroids, immunosuppressants and cyclosporine, but these can have severe side effects, such as venous thromboembolism. As insights into UC’s immunopathogenic mechanisms have grown, targeted therapies have emerged [6], notably tumor necrosis factor (TNF) inhibitors (e.g., infliximab, adalimumab, certolizumab), which reduce infiltration of inflammatory cells into the intestinal mucosa but may increase infection risks [7]. Other novel treatments include anti-adhesion molecules such as etrolizumab, which blocks α4β7 integrin to reduce leukocyte infiltration [8]. More recently, the FDA has approved a class of medications known as sphingosine-1 phosphate receptor modulators for managing UC. These small oral molecules, which include ozanimod, result in a significant inhibition of the inflammatory processes that contribute to the pathology of UC [9]. Phosphodiesterase inhibitors, such as apremilast, increase cyclic adenosine monophosphate (cAMP) levels to alleviate inflammation. A significant advancement is tofacitinib, a Janus kinase (JAK) inhibitor approved in 2018, which interrupts the JAK-STAT signaling pathway to manage UC effectively [10].

Epigallocatechin gallate (EGCG) is a catechin, a type of plant compound belonging to the polyphenol group and present in green tea, which is known for its potent antioxidant properties and plays a critical role in protection against free radical-induced health issues. EGCG can potentially mitigate inflammation and reduce the risk of chronic conditions, such as heart disease, diabetes and certain cancers. Studies in mice have shown that dietary supplementation with EGCG led to a significant reduction in body fat accumulation in a dose-dependent manner, independent of food intake [11]. Moreover, EGCG has been investigated as a potential therapeutic agent for UC, and has exhibited promising effects by reducing the expression of specific inflammatory markers such as nuclear factor kappa-light-chain-enhancer of activated B cells (NFκB), TNF-α, and interleukin (IL)-1β [12], or by diminishing the expression of toll-like receptor 4, myeloid differentiation primary response 88 and NFκB [13]. In preceding studies, the potential antiapoptotic effects of EGCG have not been comprehensively investigated. Consequently, a research initiative was implemented to scrutinize the impact of EGCG on inflammatory and apoptotic pathways in rats afflicted with UC.

Materials and methods

Animals and treatment outlines

The experiments involved 36 male Sprague Dawley rats, weighing 180-200 g. The rats were housed in a controlled environment with a consistent temperature between 22°C and 24°C. They were subjected to a structured light/dark cycle, consisting of 12 h of light followed by 12 h of darkness. The experimental procedures were approved by the Institutional Animal Care and Use Committee of Beni-Suef University (BSU-IACUC-022-356), adhering to ethical standards for animal research. The rats were randomly divided into 3 groups, each consisting of 12 individuals:

Control group

The rats underwent mild anesthesia with ether, followed by the insertion of 2 mL of saline solution into the colon using a soft, lubricated pediatric catheter. The rats were then placed in a horizontal position for 2 min to prevent the saline from leaking. Subsequently, they were given a daily oral treatment of 0.5% (w/v) methylcellulose and 2% (v/v) Tween 80, mixed in deionized water, over 2 weeks.

UC group

The rats were anesthetized with ether and subsequently administered 2 mL of 4% acetic acid via a gentle pediatric catheter into their colon. Following the administration, the rats were positioned horizontally for 2 min to promote the retention of the acetic acid [14-18].

UC group treated with genistein

UC was induced using the previously outlined methodology. Subsequently, the rats received an oral administration of 20 mg/kg of EGCG (Sigma-Aldrich, Inc, St. Louis, MO, United States) once daily for 2 weeks.

Previously, EGCG had been used alone for the treatment of UC in rats, administered at doses of 1 mg/kg [19] and 50 mg/kg [13] via intraperitoneal injection. Additionally, it was applied once to alleviate UC in mice, using an oral dose of 20 mg/kg [20]. Therefore, we conducted a preliminary study to assess 4 different concentrations of EGCG: 20 mg/kg, 30 mg/kg, 40 mg/kg and 50 mg/kg. Based on the findings, the dosage of 20 mg/kg was selected, as it was determined to be the minimum concentration that provided therapeutic benefits.

Sample collection

After the animals had been euthanized, the entire colon was excised, measured and weighed. Subsequently, a segment of the colon was immersed in 10% buffered formalin for histological assessments and immunohistochemistry. Another segment was homogenized in a 10-fold cold sodium–potassium phosphate buffer (0.01 M, pH 7.4) containing 1.15% KCl. The resulting solution was then subjected to rapid freezing at -80°C.

Morphological analysis and immunohistochemistry

To ensure uniformity, the colon tissue specimens were sectioned into 5-μm-thick slices using a microtome. These sections were then stained with Masson’s trichrome, which distinctively highlights connective tissue and allows for clear visualization of fibrotic regions within the colon. To evaluate the extent and distribution of fibrosis, at least 10 high-power fields were carefully examined per stained section under a microscope, providing a comprehensive assessment of the fibrotic areas present in the tissue samples. For the immunohistochemistry analysis, 5-μm sections were cut. The sections were then subjected to a standardized immunostaining procedure using a monoclonal antibody against sphingosine kinase 1 (SphK1; sourced from Sigma Aldrich Chemicals Co). The immunostaining was carried out at a controlled temperature of 4°C, adhering to a previously established protocol for optimal antibody performance [21-24].

Estimation of caspases activity

The enzyme activities of caspase-3, -8, and -9 were evaluated using commercially available kits (Abcam, Cambridge, MA, USA).

Enzyme-linked immunosorbent assay (ELISA)

We utilized commercially available ELISA kits to evaluate the levels of SphK1, macrophage inflammatory protein (MIP)-1α (CCL3), B-cell lymphoma 2 (BCL2), and BCL2 Associated X (BAX), nuclear factor (NF)κB, as well as TNF-α, following the instructions provided by the manufacturer (MyBioSource, Inc., San Diego, CA, USA).

Quantitative real-time polymerase chain reaction (RT-PCR)

The mRNA levels of SphK1, MIP-1α, BCL2, BAX, NFκB and TNF-α in rat colon lysates were analyzed using established protocols [25-28]. β-actin was used as the internal reference and housekeeping gene. The PCR primers specific to each gene are detailed in Table 1.

Table 1 Primer sets used to detect gene expression in rats

thumblarge

Statistical analysis

Quantitative variables were expressed as the mean ± standard error of the mean. To evaluate the normality of the sample distribution, we utilized the Kolmogorov-Smirnov test. For comparing groups, we employed a 1-way analysis of variance (ANOVA), which allows for examining differences between 3 or more independent groups. In instances where the ANOVA indicated significant differences among group means, post hoc analyses were conducted using the Bonferroni correction test to control for Type I error and ensure the reliability of the results. All statistical analyses were performed using SPSS version 20 (Chicago, IL, USA), a comprehensive statistical software package. Statistical significance was defined as a threshold of P<0.05.

Results

Impact of EGCG on UC-induced changes in colon length and weight

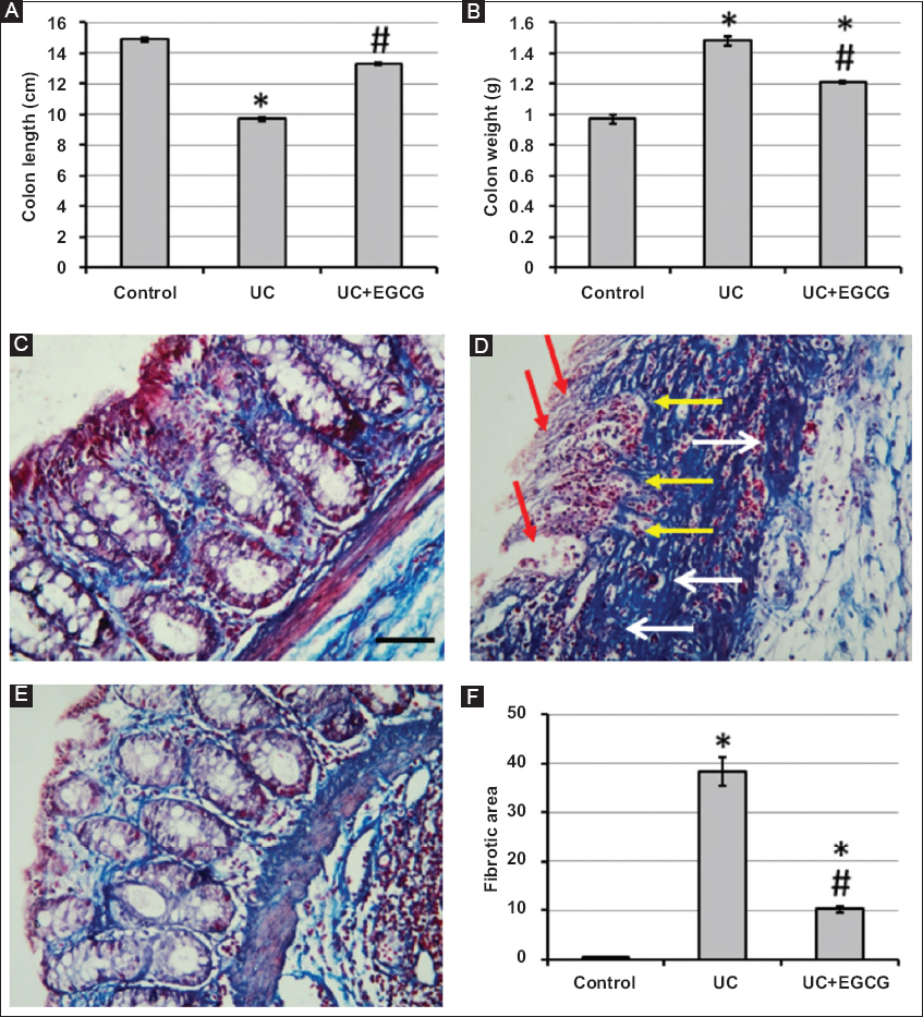
Analysis of our results revealed a marked shorter colon length and greater colon weight in UC-induced colitis as compared to the control group. Furthermore, visual examination of colon specimens from various groups exhibited heightened redness due to hemorrhaging and extensive ulcerations in the UC group. Treatment of UC-induced rats with EGCG partially reversed these effects, leading to restoration of the colon length and weight, and a decrease in hemorrhagic and ulcerative areas. Thus, EGCG intervention partially improved macroscopic colonic features in UC-induced rats (Fig. 1A,B).

thumblarge

Figure 1 Effect of UC and 20 mg/kg EGCG on colon length (A) and (B) weight. Colon sections stained with Masson trichrome in control group (C), UC (D) and UC treated with 20 mg/kg EGCG (E). The examination of UC group revealed damaged intestinal glands (yellow arrows), severe hemorrhage (red arrows) and extensive fibrosis (white arrows). The fibrotic area was calculated for each group (F). The micro-images represented the results of examining 3 rats in each group with examination of 10 fields in each rat (scale bar is 50 μm)

*Significant difference as compared with control group at P<0.05

#Significant difference as compared with UC group at P<0.05

EGCG, epigallocatechin-3-gallate; UC, ulcerative colitis

Impact of EGCG on morphological changes induced by UC

In the colon sections of rats with induced UC, microscopic examination revealed compromised intestinal glands, notable hemorrhaging and extensive fibrosis. Tissues collected from UC rats treated with EGCG resembled those obtained from the control group (Fig. 1C-F).

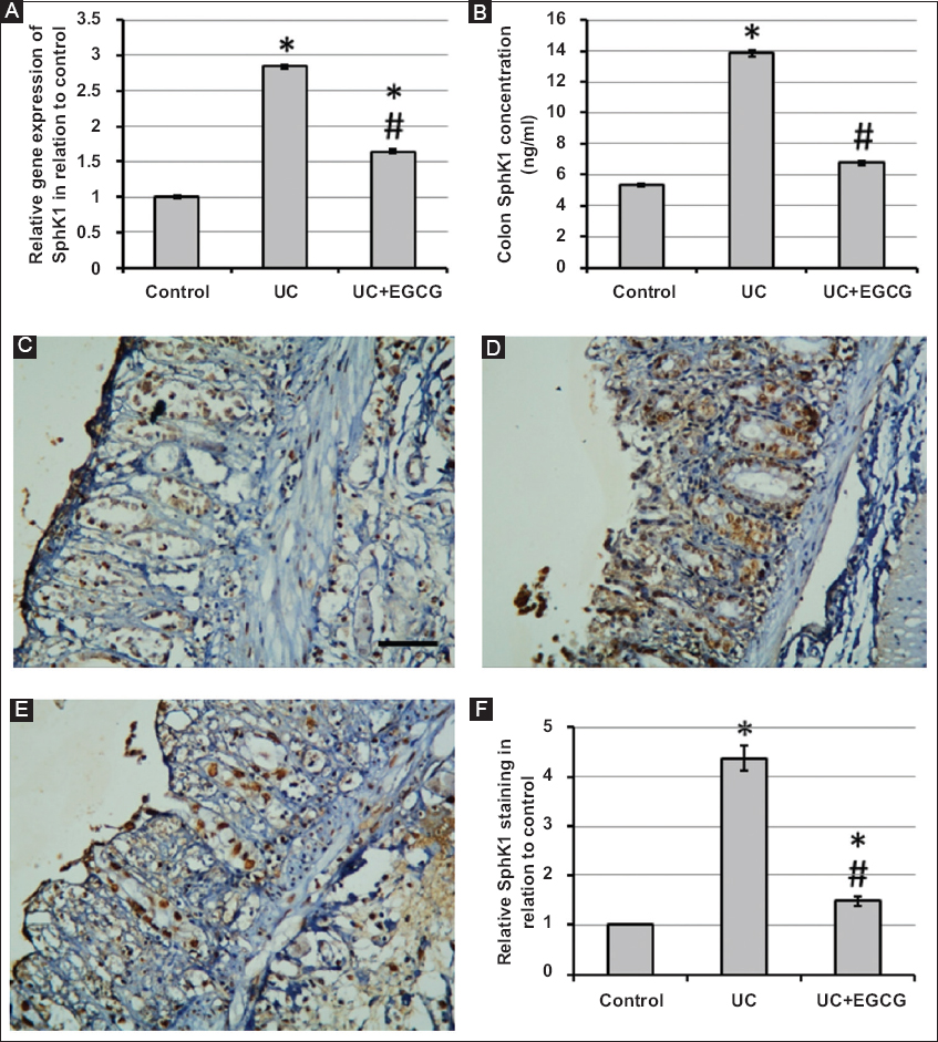
Impact of EGCG on UC-induced elevated expression of SphK1

Rats afflicted with UC exhibited a substantial 2.84-fold upsurge in SphK1 gene expression and a 2.58-fold increase in colon protein levels compared to the control group. Notably, administration of EGCG resulted in a significant reduction of SphK1 expression in UC-afflicted rats compared to the UC group, as illustrated in Fig. 2.

thumblarge

Figure 2 Effect of UC and 20 mg/kg EGCG on SphK1 gene expression (A) and protein level (B). Colon sections stained with anti-SphK1 antibodies in control group (C), UC group (D) and UC group treated with EGCG (E). Immunohistochemistry score of positive staining (F) (scale bar is 50 μm)

*Significant difference as compared with control group at P<0.05

#Significant difference as compared with UC group at P<0.05

EGCG, epigallocatechin-3-gallate; SphK1, sphingosine kinase 1; UC, ulcerative colitis.

Impact of EGCG on UC-induced elevated expression of MIP-1α

In our study, we discovered a substantial upregulation of MIP-1α gene expression by 3.24 times and a 2.87-fold increase in protein levels in the colon compared to control rats. The administration of EGCG resulted in a significant reduction in MIP-1α expression in rats with UC, as depicted in Fig. 3A,B.

thumblarge

Figure 3 Effect of UC and 20 mg/kg EGCG on gene expression of MIP-1α (A), NFκB (C), and TNF-α (E), as well as protein levels of MIP-1α (B), NFκB (D) and TNF-α (F)

*Significant difference as compared with control group at P<0.05

#Significant difference as compared with UC group at P<0.05

EGCG, epigallocatechin-3-gallate; MIP-1α, macrophage inflammatory protein-1α; NFκB, nuclear factor κB; TNF-α, tumor necrosis factor-α; UC, ulcerative colitis

Impact of EGCG on UC-induced activation of inflammatory pathway

In our study, the UC group exhibited a remarkable 4.08-fold increase in the expression of the NFκB gene, accompanied by a 3.83-fold increase in its protein level. Additionally, levels of TNF-α showed a significant escalation, with a 4.36-fold increase in gene expression and a 4.82-fold increase in protein levels compared to the control group. Interestingly, when UC rats were administered EGCG, there was a notable reduction in the expression levels of both NFκB and TNF-α (Fig. 3C-F).

Impact of EGCG on UC-induced activation of apoptotic pathway

Our study evaluated the levels of the pro-apoptotic protein BAX and the anti-apoptotic protein BCL2. In UC rats, we observed a significant decrease of 57% in BCL2 expression and a 3.14-fold increase in BAX gene expression compared to the control group. This led to a 61% reduction in BCL2 protein levels and a 349-fold increase in BAX protein levels in the colon tissues compared to the control group. However, the administration of EGCG to UC rats partially reversed these effects. Notably, EGCG was found to decrease the BAX/BCL2 ratio in UC, demonstrating anti-apoptotic activity, as illustrated in Fig. 4 A-D.

thumblarge

Figure 4 Effect of UC and 20 mg/kg EGCG on gene expression of BCL2 (A) and BAX (C), as well as protein levels of BCL2 (B) and BAX (D). The effect of UC and EGCG was assessed on the activity of caspase-3 (E), caspase-8 (F) and caspase-9 (G)

*Significant difference as compared with control group at P<0.05

#Significant difference as compared with UC group at P<0.05

BCL2, B-cell lymphoma 2; BAX, BCL2 associated X; EGCG, epigallocatechin-3-gallate; UC, ulcerative colitis

Impact of EGCG on UC-induced activation of caspases

In UC rats, there was a 4.83-fold increase in caspase-3 activity, a 3.87-fold increase in caspase-8 activity and a 4.18-fold increase in caspase-9 activity compared to control rats. Following treatment with EGCG, a notable decrease in caspase enzyme activity was observed in UC rats compared to the UC group (Fig. 4E-G).

Discussion

Treatment with EGCG led to a significant restoration of both colon length and weight, alongside a marked reduction in the extent of hemorrhagic lesions and ulcerative areas within the colonic tissue. Furthermore, microscopic examinations of colon sections from UC rats treated with EGCG showed a substantial improvement in cell morphology and a reduced fibrotic area. Given these findings, our primary objective was to explore the effects of EGCG on immune, inflammatory and apoptotic signaling pathways in UC.

The enzyme SphK1 is found throughout different tissues in the body, such as the brain, colon and heart, where it demonstrates cancer-promoting characteristics. Stimulating the SphK1 pathway in the intestinal lining can enhance various immune and inflammatory pathways [17]. Its activation has been linked to elevated levels of proinflammatory cytokines, prolonged STAT-3 activation, and inflammation in colitis. The SphK1/S1P complex can trigger multiple signaling pathways, including those involved with proinflammatory cytokines and coagulation. SphK1 plays a significant role in modulating TNF-α signaling, activating NFκB, and influencing immune responses related to monocytes and macrophages [29]. Enhanced expression of SphK1 has been found to exacerbate UC in preclinical mouse colitis models and human patients. Furthermore, analysis of colitis patient specimens revealed the expression of SphK1 in the intestinal epithelium [30]. Our investigation observed that the administration of EGCG led to a significant reduction in the expression of SphK1 in rats with induced UC. While prior research has established EGCG’s capacity to diminish the expression of SphK1 in leukemic cells [31], our findings represent the first report of such an impact in the context of UC.

The inflammatory pathway is known to play a crucial role in the pathogenesis of UC. Among its specific components, MIP-1α has been identified for its proinflammatory properties. Previous investigation indicates that individuals with active UC exhibit elevated levels of MIP-1α in their colonic tissues. The upregulation of MIP-1α confirmed its significance as a central mediator of the inflammatory response in UC [32]. MIP-1α primarily contributes to the progression of UC by promoting the migration and recruitment of specific white blood cells, including monocytes and T cells, into the inflamed colonic mucosa. By fostering the movement of white blood cells from the bloodstream into the colonic tissue, MIP-1α sustains the inflammatory cascade, resulting in further tissue damage and worsening of the disease [33]. Furthermore, during inflammation, MIP-1α has been observed to modulate the function of these immune cells, intensifying the inflammatory response. The heightened activation and altered behavior of these immune cells perpetuate the inflammatory state in the colonic environment. This is evidenced by the increased expression of proinflammatory cytokines, such as TNF-α, in response to the heightened levels of MIP-1α [34]. The interaction between MIP-1α and its receptors appears to be a critical determinant of susceptibility to developing UC [3]. Our research illustrates that highly inflamed gastrointestinal mucosa contains more cells expressing MIP-1α than healthy tissue. This indicates that the disruption of the MIP-1α signaling pathway may play a significant role in the onset and advancement of the condition. The potential therapeutic efficacy of targeting the MIP-1α-mediated inflammatory pathway is further substantiated by our findings indicating that the administration of EGCG significantly reduced the expression of MIP-1α. Although previous research has demonstrated the capacity of EGCG to diminish the expression of MIP-1α in cases of acute lung injury [35], this study represents the first report of this effect within the framework of UC.

The activation of MIP-1α or SphK1 can lead to the activation of local T-cells and their infiltration. This infiltration results in the overexpression and release of 2 key molecules, NFκB and TNF-α, leading to sustained degradation of the mucosal lining and damage to intestinal glands [36]. The TNF inflammatory pathway is activated when TNF-α binds to its receptor on the cell membrane. This causes defects in the intestinal barrier and increases the permeability of endothelial cells. This process releases various cytokines and cytotoxic oxidants, ultimately contributing to disease progression [37,38]. In our investigation, we observed that UC induced an upregulation of both NFκB and TNF-α in rats. However, the administration of EGCG to UC-afflicted rats led to the suppression of this upregulation. It is noteworthy that previous studies have documented the inhibitory effects of EGCG on the expression of NFκB and TNF-α in various contexts, including human synovial fibroblasts [39], manganese-induced kidney damage [40] and insulin resistance in adipocytes [41]. Additionally, the existing literature indicates that EGCG may mitigate UC by decreasing the expression of specific inflammatory markers, including NFκB, TNF-α, and IL-1β [12].

Cell death, particularly in the form of apoptosis, plays a crucial role in the pathophysiology of UC. This highly regulated process is governed by a delicate interplay between anti-apoptotic proteins, such as MCL-1 and BCL-2, and pro-apoptotic proteins, including BAX and BAK. An imbalance favoring the pro-apoptotic protein BAX over BCL-2, evidenced by an elevated BAX/BCL-2 ratio, results in the enhanced activation of caspase-3, subsequently amplifying the apoptosis process [42]. BCL-2, a prominent member of the BCL family of proteins, is primarily located on the outer mitochondrial membrane. It exerts protective effects against apoptosis by modulating various processes that counteract oxidative stress and prevent cytochrome c release [43]. In contrast, BAX is a well-characterized pro-apoptotic protein that promotes cell death. Under conditions of cellular stress, such as oxidative damage, BAX undergoes significant conformational alterations, which facilitate its translocation to the mitochondrial membrane. This translocation is critical as it releases cytochrome c into the cytosol, subsequently activating caspase-3 and inhibiting the protective action of BCL-2, thereby initiating the apoptotic cascade [44]. The initiation of apoptosis can be classified into 2 major pathways: the extrinsic and the intrinsic. The extrinsic pathway is initiated when TNF-α binds to its specific receptors on the cell surface, leading to a series of signaling cascades that activate initiator caspases, such as caspase-8. In contrast, the intrinsic pathway is activated in response to stress signals, including oxidative damage or the accumulation of misfolded proteins in the endoplasmic reticulum, activating caspase-9. Both pathways converge on the activation of effector caspase-3, which cleaves various substrates necessary for cell dismantling and death [45]. Ultimately, this sophisticated balance of pro-apoptotic and anti-apoptotic signals is vital for maintaining cellular homeostasis, and plays an essential role in the progression of diseases such as UC. Our investigation observed an upregulation of the pro-apoptotic protein BAX and a downregulation of the anti-apoptotic protein BCL2 in the context of UC, activating both intrinsic and extrinsic apoptotic pathways. Upon treatment of UC rats with EGCG, we noted a significant increase in BCL2 expression, a reduction in BAX expression, and a decrease in the activity of several caspases. This novel finding illustrates EGCG’s potential to restore the equilibrium between BCL2 and BAX and to diminish caspase activity in the context of UC.

Previous research has established EGCG as a safe natural compound with low toxicity levels. Based on allometric scaling principles, the doses of EGCG associated with toxicity in the referenced studies ranged from 500 to 1500 mg/kg in rats [46]. When converted to human equivalents, these figures correspond to approximately 30-90 mg/kg, considering mice’s average daily caloric requirements (12 kcal) compared to humans (2000 kcal). To provide context concerning green tea consumption, this dosage corresponds to an estimated intake of approximately 10.5-32 cups of green tea daily, predicated on the assumption that each cup is prepared using 2.5 g of green tea leaves in 250 mL of water [47].

In conclusion, our findings indicate that EGCG holds significant promise as a viable treatment option for UC experimentally induced in rats. The mechanism of action is summarized in Fig. 5. EGCG effectively reduces levels of key inflammatory markers, including NFκB, TNF-α and MIP-1α. These markers are crucial in the inflammatory response associated with UC. Additionally, EGCG demonstrated a remarkable capacity to impede programmed cell death, or apoptosis, by modulating the expression of specific proteins involved in this process. Notably, it reduced the expression of pro-apoptotic markers such as BAX and various caspases. In contrast, EGCG enhanced the expression of BCL2, a well-known anti-apoptotic protein that helps promote cell survival. These intricate mechanisms illustrate the potential of EGCG as both a modulator of inflammatory responses and a protector of cellular integrity in UC pathology.

thumblarge

Figure 5 The mechanism of the protective effects of ECGC against UC induced in rats

BCL2, B-cell lymphoma 2; BAX, BCL2 associated X; caspase-3/8/9; EGCG, epigallocatechin gallate; MIP-1α, macrophage inflammatory protein-1α; (NF)κΒ, nuclear factor; SphK1, sphingosine kinase 1; TNF-α, tumor necrosis factor; UC, ulcerative colitis

Summary Box

What is already known:


  • Ulcerative colitis (UC) is a long-term inflammatory bowel disease that impacts the colon

  • Around the world, the prevalence of UC varies, but it is estimated to affect between 200 and 250 individuals per 100,000 people, with no notable differences between the sexes

  • Epigallocatechin gallate (EGCG) is a compound present in green tea, known for its antioxidant and anti-inflammatory effects

What the new findings are:


  • EGCG has demonstrated potential as a therapeutic agent for UC in rat models

  • EGCG reduced the inflammation associated with UC by reducing the expression of NFκB, TNF-α and MIP-1α

  • EGCG exhibits protective effects against apoptosis in intestinal epithelial cells by downregulating pro-apoptotic proteins, such as BAX and various caspases, and increasing the expression of the anti-apoptotic protein BCL2

References

1. Kofla-Dłubacz A, Pytrus T, Akutko K, Sputa-Grzegrzółka P, Piotrowska A, Dzięgiel P. Etiology of IBD-is it still a mystery?Int J Mol Sci 2022;23:12445.

2. Zhang Y, Chu X, Wang L, Yang H. Global patterns in the epidemiology, cancer risk, and surgical implications of inflammatory bowel disease. Gastroenterol Rep (Oxf) 2024;12:goae053.

3. Porter RJ, Kalla R, Ho GT. Ulcerative colitis:recent advances in the understanding of disease pathogenesis. F1000Res 2020;9:F1000 Faculty Rev-294.

4. Armuzzi A, Liguori G. Quality of life in patients with moderate to severe ulcerative colitis and the impact of treatment:a narrative review. Dig Liver Dis 2021;53:803-808.

5. Kobayashi T, Siegmund B, Le Berre C, et al. Ulcerative colitis. Nat Rev Dis Primers 2020;6:74.

6. Billmeier U, Dieterich W, Neurath MF, Atreya R. Molecular mechanism of action of anti-tumor necrosis factor antibodies in inflammatory bowel diseases. World J Gastroenterol 2016;22:9300-9313.

7. Vermeire S, O'Byrne S, Keir M, et al. Etrolizumab as induction therapy for ulcerative colitis:a randomised, controlled, phase 2 trial. Lancet 2014;384:309-318.

8. Zurba Y, Gros B, Shehab M. Exploring the pipeline of novel therapies for inflammatory bowel disease;state of the art review. Biomedicines 2023;11:747.

9. Papp K, Reich K, Leonardi CL, et al. Apremilast, an oral phosphodiesterase 4 (PDE4) inhibitor, in patients with moderate to severe plaque psoriasis:results of a phase III, randomized, controlled trial (Efficacy and Safety Trial Evaluating the Effects of Apremilast in Psoriasis [ESTEEM] 1). J Am Acad Dermatol 2015;73:37-49.

10. Fernández-Clotet A, Castro-Poceiro J, Panés J. Tofacitinib for the treatment of ulcerative colitis. Expert Rev Clin Immunol 2018;14:881-892.

11. Mokra D, Adamcakova J, Mokry J. Green tea polyphenol (-)-Epigallocatechin-3-Gallate (EGCG):a time for a new player in the treatment of respiratory diseases?Antioxidants (Basel) 2022;11:1566.

12. Panda SP, Mahamat MSA, Rasool MA, et al. Inhibitory effects of mixed flavonoid supplements on unraveled DSS-induced ulcerative colitis and arthritis. Bioimpacts 2023;13:73-84.

13. Bing X, Xuelei L, Wanwei D, Linlang L, Keyan C. EGCG maintains Th1/Th2 balance and mitigates ulcerative colitis induced by dextran sulfate sodium through TLR4/MyD88/NF- B signaling pathway in rats. Can J Gastroenterol Hepatol 2017;2017:3057268.

14. Alattar A, Alshaman R, Al-Gayyar MMH. Therapeutic effects of sulforaphane in ulcerative colitis:effect on antioxidant activity, mitochondrial biogenesis and DNA polymerization. Redox Rep 2022;27:128-138.

15. Albalawi GA, Albalawi MZ, Alsubaie KT, et al. Curative effects of crocin in ulcerative colitis via modulating apoptosis and inflammation. Int Immunopharmacol 2023;118:110138.

16. Bagalagel A, Diri R, Noor A, et al. Curative effects of fucoidan on acetic acid induced ulcerative colitis in rats via modulating aryl hydrocarbon receptor and phosphodiesterase-4. BMC Complement Med Ther 2022;22:196.

17. Bagalagel A, Diri R, Noor A, et al. The therapeutic effects of cycloastragenol in ulcerative colitis by modulating SphK/MIP-1 /miR-143 signalling. Basic Clin Pharmacol Toxicol 2022;131:406-419.

18. Alharbi TS, Alshammari ZS, Alanzi ZN, et al. Therapeutic effects of genistein in experimentally induced ulcerative colitis in rats via affecting mitochondrial biogenesis. Mol Cell Biochem 2024;479:431-444.

19. Gerges Geagea A, Rizzo M, Eid A, et al. Tea catechins induce crosstalk between signaling pathways and stabilize mast cells in ulcerative colitis. J Biol Regul Homeost Agents 2017;31:865-877.

20. Du Y, Ding H, Vanarsa K, et al. Low dose epigallocatechin gallate alleviates experimental colitis by subduing inflammatory cells and cytokines, and improving intestinal permeability. Nutrients 2019;11:1743.

21. Albalawi AZ, Alatawi AS, Al-Atwi SM, et al. Echinacoside ameliorates hepatic fibrosis and tumor invasion in rats with thioacetamide-induced hepatocellular carcinoma. Biomol Biomed 2024;24:1186-1198.

22. El-Far YM, Khodir AE, Emarah ZA, Ebrahim MA, Al-Gayyar MMH. Chemopreventive and hepatoprotective effects of genistein via inhibition of oxidative stress and the versican/PDGF/PKC signaling pathway in experimentally induced hepatocellular carcinoma in rats by thioacetamide. Redox Rep 2022;27:9-20.

23. Elsherbiny NM, Al-Gayyar MM, Abd El Galil KH. Nephroprotective role of dipyridamole in diabetic nephropathy:effect on inflammation and apoptosis. Life Sci 2015;143:8-17.

24. Al-Gayyar MM, Abbas A, Hamdan AM. Chemopreventive and hepatoprotective roles of adiponectin (SULF2 inhibitor) in hepatocelluar carcinoma. Biol Chem 2016;397:257-267.

25. Hassan HM, Hamdan AM, Alattar A, Alshaman R, Bahattab O, Al-Gayyar MMH. Evaluating anticancer activity of emodin by enhancing antioxidant activities and affecting PKC/ADAMTS4 pathway in thioacetamide-induced hepatocellular carcinoma in rats. Redox Rep 2024;29:2365590.

26. Alharbi KM, Alshehri SA, Almarwani WA, et al. Effects of cycloastragenol on Alzheimer's disease in rats by reducing oxidative stress, inflammation, and apoptosis. Curr Alzheimer Res 2024;21:141-154.

27. Bayomi HS, Elsherbiny NM, El-Gayar AM, Al-Gayyar MM. Evaluation of renal protective effects of inhibiting TGF- type I receptor in a cisplatin-induced nephrotoxicity model. Eur Cytokine Netw 2013;24:139-147.

28. Elsherbiny NM, Naime M, Ahmad S, et al. Potential roles of adenosine deaminase-2 in diabetic retinopathy. Biochem Biophys Res Commun 2013;436:355-361.

29. Sukocheva OA, Lukina E, McGowan E, Bishayee A. Sphingolipids as mediators of inflammation and novel therapeutic target in inflammatory bowel disease. Adv Protein Chem Struct Biol 2020;120:123-158.

30. Crespo I, San-Miguel B, Mauriz JL, et al. Protective effect of protocatechuic acid on TNBS-induced colitis in mice is associated with modulation of the SphK/S1P signaling pathway. Nutrients 2017;9:288.

31. Tsukamoto S, Kumazoe M, Huang Y, et al. SphK1 inhibitor potentiates the anti-cancer effect of EGCG on leukaemia cells. Br J Haematol 2017;178:155-158.

32. Li K, Wang B, Sui H, et al. Polymorphisms of the macrophage inflammatory protein 1 alpha and ApoE genes are associated with ulcerative colitis. Int J Colorectal Dis 2009;24:13-17.

33. Saez A, Herrero-Fernandez B, Gomez-Bris R, Sánchez-Martinez H, Gonzalez-Granado JM. Pathophysiology of inflammatory bowel disease:innate immune system. Int J Mol Sci 2023;24:1526.

34. Feng B, Liu J, Li J, et al. The immune suppressive functions of macrophages are impaired in patients with ulcerative colitis. Immunol Lett 2024;267:106867.

35. Almatroodi SA, Almatroudi A, Alsahli MA, Aljasir MA, Syed MA, Rahmani AH. Epigallocatechin-3-gallate (EGCG), an active compound of green tea attenuates acute lung injury regulating macrophage polarization and Krüpple-like-factor 4 (KLF4) expression. Molecules 2020;25:2853.

36. Pender SL, Chance V, Whiting CV, et al. Systemic administration of the chemokine macrophage inflammatory protein 1alpha exacerbates inflammatory bowel disease in a mouse model. Gut 2005;54:1114-1120.

37. Bagalagel A, Diri R, Noor A, et al. Evaluating the anticancer activity of blocking TNF type 1 receptors in thioacetamide-induced hepatocellular carcinoma in a rat model. Cureus 2022;14:e32519.

38. Oliveira RG, Damazo AS, Antonielli LF, et al. Dilodendron bipinnatum Radlk. extract alleviates ulcerative colitis induced by TNBS in rats by reducing inflammatory cell infiltration, TNF- and IL-1 concentrations, IL-17 and COX-2 expressions, supporting mucus production and promotes an antioxidant effect. J Ethnopharmacol 2021;269:113735.

39. Xu H, Gan C, Xiang Z, et al. Targeting the TNF- -TNFR interaction with EGCG to block NF- B signaling in human synovial fibroblasts. Biomed Pharmacother 2023;161:114575.

40. Zhou Q, Cui J, Liu Y, Gu L, Teng X, Tang Y. EGCG alleviated Mn exposure-caused carp kidney damage via trpm2-NLRP3-TNF- -JNK pathway:oxidative stress, inflammation, and tight junction dysfunction. Fish Shellfish Immunol 2023;134:108582.

41. Mi Y, Liu X, Tian H, et al. EGCG stimulates the recruitment of brite adipocytes, suppresses adipogenesis and counteracts TNF- -triggered insulin resistance in adipocytes. Food Funct 2018;9:3374-3386.

42. Dudzińska E, Szymona K, Gil-Kulik P, et al. Imbalance of controlled death in peripheral blood lymphocytes in Crohn's disease and ulcerative colitis. Medicina (Kaunas) 2019;55:231.

43. Kinra P, Turlapati S, Mehta A, Rai R. Study of p53 and bcl-2 oncoproteins in ulcerative colitis with dysplasia. Med J Armed Forces India 2005;61:125-129.

44. Sun J, Zhang H, Guan L, Zhou H, Sun M. Alpha-lipoic acid attenuates trinitrobenzene sulfonic acid-induced ulcerative colitis in mice. Int J Clin Exp Med 2015;8:358-367.

45. Becker C, Watson AJ, Neurath MF. Complex roles of caspases in the pathogenesis of inflammatory bowel disease. Gastroenterology 2013;144:283-293.

46. Schneider K, Oltmanns J, Hassauer M. Allometric principles for interspecies extrapolation in toxicological risk assessment—empirical investigations. Regul Toxicol Pharmacol 2004;39:334-347.

47. Lambert JD, Kennett MJ, Sang S, Reuhl KR, Ju J, Yang CS. Hepatotoxicity of high oral dose (-)-epigallocatechin-3-gallate in mice. Food Chem Toxicol 2010;48:409-416.

Notes

Conflict of Interest: None